Calendrier des soins de la future maman
Articles similaires
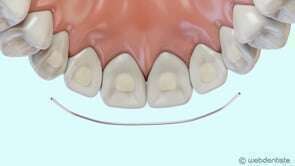
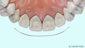
Contention de hawley
Vidéos 3D
L'hygiène en orthodontie
Vidéos 3D
- À la une (11)
- Coûts et prise en charge (1)
- Incidents et urgences orthodontiques (1)
- Informations générales dentaires (34)
- L'orthodontie de l'adulte (1)
- La réussite d'un traitement (9)
- Les enfants & les adolescents (18)
- Orthodontie (82)
- Qu'est-ce que l'orthodontie ? (16)
- Questions fréquentes en orthodontie (4)
